Beyin Tümörü
35 yaşında erkek hastanın üç aydır devam eden kulakta basınç hissi, boyun ağrısı ve gözde şişlik gibi şikayetleri bulunuyordu.
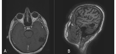
Çekilen beyin MR'ında (manyetik rezonans görüntüleme) sol temporal ve parietal bölgede, yani beynin şakak ve yan-arka kısmında, glial tümör morfolojisiyle uyumlu bir kitle saptandı. Kitle, hem kistik (sıvı dolu) hem de kanamalı bileşenler içeriyordu. Bu tür kanamalı pilositik astrositomlar (HPA), yetişkinlerde nadir görülen tümörlerdir.
Ameliyat öncesi kontrastlı T1 ağırlıklı MR görüntülerinde tümörün konumu ve boyutu Tümörün kanamalı ve kistik bileşenlerini gösteren ameliyat öncesi aksiyal MR görüntüleri.
Hastaya genel anestezi altında sol temporoparietal kraniyotomi (kafatası açma) operasyonu uygulandı. Bu operasyonda tümörün tamamı alındı. Ameliyat sonrası yapılan patolojik incelemede, tümörün pilositik astrositom olduğu doğrulandı.
Ameliyat sonrası dönem sorunsuz geçti. Hastanın erken ve geç dönem MR görüntülerinde tümörün tekrarlamadığı gözlendi. Ameliyattan 3,5 yıl sonraki takipte, hastanın hiçbir şikayeti kalmamıştı ve radyolojik olarak da tümörün tekrarlamadığı görüldü.
Ameliyattan bir gün sonra çekilen MR görüntülerinde tümörün tamamen çıkarıldığı görülüyor.
Ameliyattan yaklaşık 3,5 yıl sonraki MR görüntülerinde tümörün nüks etmediği (tekrar oluşmadığı) gözleniyor.
Pilositik Astrositom Hakkında Ek Bilgi
Pilositik astrositom (PA), Dünya Sağlık Örgütü (DSÖ) tarafından yavaş büyüyen, iyi huylu bir tümör olarak sınıflandırılır. Bu tümör en sık çocuklarda ve beyincikte görülse de, bu vakada olduğu gibi yetişkinlerde ve beynin farklı bölgelerinde de ortaya çıkabilir. Total tümör rezeksiyonu (tümörün tamamının çıkarılması) sonrası hastaların iyileşme şansı oldukça yüksektir ve 5 yıllık sağkalım oranı yaklaşık %96'dır.





